Thời gian gần đây, khoa Chấn thương Chỉnh hình, Phẫu thuật Tạo hình và Y học thể thao, Bệnh viện 19-8, Bộ Công An tiếp nhận nhiều trường hợp gãy xương cánh tay do vật tay, chủ yếu ở người trẻ, khỏe mạnh. Phần lớn chấn thương xảy ra đột ngột trong lúc thi đấu, khi lực xoắn tác động lên xương quá lớn.
Trong tư thế vật tay, xương cánh tay phải chịu lực xoắn lớn. Khi kỹ thuật không đúng hoặc cố gắng quá mức, xương có thể bị gãy, thường gặp ở 1/3 dưới thân xương, ổ gãy thường chéo vát (theo chiều lực xoắn vặn), và có nhiều mảnh rời.

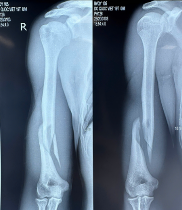
Điển hình trường hợp bệnh nhân nam, 19 tuổi, nhập viện trong tình trạng đau chói và mất vận động cánh tay sau khi vật tay. Tại khoa Chấn thương Chỉnh hình, Bệnh viện 19-8, qua đánh giá lâm sàng và phim XQ của người bệnh, BSCKII Đỗ Việt Sơn (Phó trưởng khoa Chấn thương Chỉnh hình, Phẫu thuật Tạo hình và Y học thể thao) nhận định đây là trường hợp gãy phức tạp 1/3 dưới xương cánh tay, đồng thời loại trừ tổn thương thần kinh quay – một biến chứng thường gặp trong loại chấn thương này.
Sau khi hội chẩn, bệnh nhân được chỉ định phẫu thuật kết hợp xương cánh tay bằng nẹp vít. Ca mổ được thực hiện sớm, giúp kiểm soát tốt ổ gãy, đảm bảo độ vững chắc và tạo điều kiện thuận lợi cho quá trình phục hồi chức năng sau mổ.
Sau phẫu thuật, các bác sĩ khoa Chấn thương Chỉnh hình, Phẫu thuật Tạo hình và Y học thể thao luôn đề cao vai trò của của việc tập phục hồi chức năng sớm và đúng, giúp bệnh nhân sớm quay trở lại với sinh hoạt thường ngày.

Để phòng tránh các chấn thương thể thao, các bác sĩ khuyến cáo, không tham gia vật tay khi chưa khởi động và chưa nắm vững kỹ thuật. Duy trì tư thế đúng, tránh xoay người hoặc tạo lực xoắn đột ngột. Dừng ngay khi có dấu hiệu mất lực, không cố gắng quá mức. Tập luyện sức mạnh cần có lộ trình, phù hợp thể trạng. Khi xuất hiện đau chói hoặc mất vận động, cần đi khám sớm.