Theo VnExpress, ngày 28/11, Công an tỉnh Phú Thọ cho biết Cơ quan Cảnh sát điều tra đã khởi tố, tạm giam Tạ Minh Châu, 29 tuổi, nguyên cán bộ Khoa xét nghiệm, Trung tâm y tế Cẩm Khê cũ và đồng nghiệp Nguyễn Anh Dũng, 29 tuổi, nguyên cán bộ Khoa chẩn đoán hình ảnh, để điều tra hành vi trục lợi bảo hiểm.

Các đối tượng trong vụ án trục lợi bảo hiểm.
Cùng vụ án, công an khởi tố 5 người khác là Hoàng Văn Trường, Hoàng Thị Hồng Điệp, Hoàng Văn Thắng, Hà Thành Đạt, Nguyễn Thị Hoài Thu. Đây là những người đứng tên mua bảo hiểm xong để đục gãy chân để hưởng lợi. Riêng Thu và Thắng từng là nhân viên của một công ty bảo hiểm, đã tham gia góp vốn với Châu để mua bảo hiểm nhằm chiếm đoạt tiền.
Châu bị cáo buộc là chủ mưu, cầm đầu đường dây này. Đầu năm 2023, Châu làm cộng tác viên Công ty bảo hiểm MB nên biết người mua bảo hiểm nhân thọ mà bị tai nạn sẽ được chi trả tiền. Đặc biệt, người nào tai nạn gãy xương cột sống, xương chậu, xương đùi cẳng chân thì được chi trả mức cao nhất so với những thương tích còn lại.
Hơn nữa, Châu học bác sĩ đa khoa, lại có 6 năm công tác tại Khoa chẩn đoán hình ảnh nên biết rất rõ cấu tạo xương, khớp và một số thủ thuật mổ đơn giản. Từ đó anh ta lập nên kế hoạch chiếm đoạt tiền của các công ty bảo hiểm.
Theo báo Công an nhân dân, Trung tá Hoàng Quang Hưởng, Đội Phó Đội 3, Phòng Cảnh sát hình sự, Công an tỉnh Phú Thọ kể lại: giữa năm 2024, quá trình trinh sát anh và đồng đội phát hiện nghi vấn ở địa bàn huyện Cẩm Khê (Phú Thọ cũ), so với mặt chung xảy ra việc nhiều người bị ngã, gẫy xương (đùi, chậu…) rất nặng phải vào bệnh viện, nhưng đều không có nhân chứng trực tiếp nhìn thấy. Đáng chú ý, những người này sau khi đi bệnh viện về đều được các bảo hiểm chi trả số tiền lớn, sau đó xây nhà, mua xe…

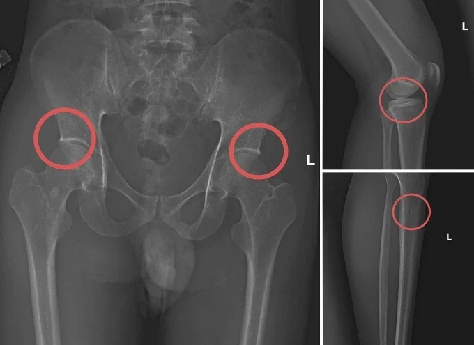
Các vết thương do Châu tự tạo nên. Ảnh: Công an cung cấp
Cũng theo Trung tá Hoàng Quang Hưởng, khi đọc một số văn bản hồ sơ gửi công ty bảo hiểm, câu từ, lời lẽ rất chặt chẽ, mà những bệnh nhân kia đều là nông dân thì không thể viết ra được, phải có người đứng đằng sau. Đặc biệt, trước khi đến bệnh viện, các bệnh nhân này đều thấy xuất hiện ở khu vực xã Sơn Tình, huyện Cẩm Khê (cũ)…
Trước tính chất nghiêm trọng của vụ việc, Đội 3 đã báo cáo lãnh đạo Phòng Cảnh sát hình sự, sau đó lãnh đạo Phòng báo cáo Ban Giám đốc Công an tỉnh Phú Thọ đồng ý cho đấu tranh vụ án.
Áp dụng các biện pháp nghiệp vụ, Phòng Cảnh sát hình sự chia làm nhiều tổ công tác đã dựng lên chân dung đối tượng chủ mưu cầm đầu Tạ Minh Châu, nguyên là cán bộ Khoa xét nghiệm, Trung tâm y tế Cẩm Khê, rất giàu có, thường xuyên đổi xe ôtô có giá trị tiền tỷ; đồng thời tiến hành triển khai đồng bộ triệu tập các đối tượng liên quan để đấu tranh. Quá trình đấu tranh đã làm rõ hành vi phạm tội.
Theo đó, đầu năm 2023, Tạ Minh Châu làm cộng tác viên Công ty bảo hiểm MB nên đối tượng Châu biết, nếu người mua bảo hiểm sau đó mà bị các tai nạn liên quan đến thương tích gãy xương nhất là liên quan đến gãy xương cột sống, xương chậu, xương đùi cẳng chân thì được chi trả mức cao nhất so với những thương tích còn lại. Do bản thân học y sĩ đa khoa, lại có thời gian 6 năm công tác tại Khoa chẩn đoán hình ảnh nên Châu biết rõ cấu tạo xương, khớp và biết một số thủ thuật mổ đơn giản (tiểu phẫu).
Giữa năm 2024, do gặp khó khăn về kinh tế nên đối tượng Châu đã nảy sinh ý định câu kết với người quen, hướng dẫn họ mua bảo hiểm của các công ty bảo hiểm nhân thọ như AIA, Daiychilife; Manulife; Chubblife; FWD; Sunlife… với các gói giá trị cao để chiếm đoạt tiền chi trả bảo hiểm. Khi mua xong, đợi hợp đồng có hiệu lực thì đối tượng Châu sẽ thống nhất và làm tiểu phẫu, anh ta tự tạo ra thương tích trên cơ thể người mua bảo hiểm.
Để thực hiện hành vi, đối tượng Châu chuẩn bị và sử dụng từ 5-7 cái kim tiêm lấy thuốc (đường kính 3mm, dài 5cm); 1 búa sắt loại búa đinh (1 đầu tròn đóng đinh, 1 đầu có hình dạng sừng dê để nhổ đinh); 1 đến 2 ống thuốc gây mê do đối tượng Châu mua trên mạng; 1 và 2 bơm kim tiêm do Châu mua ở hiệu thuốc (để tiêm thuốc mê).
Chuẩn bị xong các dụng cụ, đối tượng Châu liên lạc qua điện thoại, tin nhắn, hướng dẫn các đối tượng Hoàng Văn Trường, Hoàng Văn Thắng, Hoàng Thị Hồng Điệp, Nguyễn Anh Dũng, Hà Thành Đạt, Hoàng Thị Linh (những người đứng tên mua bảo hiểm) đến lán lợp lá cọ trong khu vực hồ câu (do đối tượng Châu thuê lại), thuộc xóm Cánh, xã Sơn Tình (nay là xóm Cánh, xã Cẩm Khê) để tiêm thuốc mê.
Tại đây, đối tượng Châu tiêm thuốc mê vào tĩnh mạch tay phải của người mua bảo hiểm, sau khoảng 1 phút họ bị mê đi thì Châu sẽ dùng búa và kim tiêm đục, đâm vào vùng cơ thể đã thống nhất từ trước để tạo vết tổn thương trên xương cho nứt, vỡ (thường sẽ làm rạn nứt, vỡ vùng xương chậu, xương đùi…).
Tiếp đó, đối tượng Châu đợi khoảng 10-20 phút khi thuốc mê hết tác dụng, những bệnh nhân tỉnh lại, anh ta hướng dẫn những người này tạo ra những vụ tai nạn tự nhiên để được hưởng bảo hiểm như: Bị điện giật ngã làm nạn nhân gãy xương chậu, đi suối ngã gãy chân... rồi nhờ người đưa đến Trung tâm y tế, bệnh viện khám và điều trị lấy bệnh án.
Sau khi ra viện, làm thủ tục yêu cầu công ty bảo hiểm chi trả. Khi công ty chi trả thì tùy theo số tiền đã đóng góp để mua bảo hiểm chia nhau tiền, thường là người trực tiếp mua bảo hiểm được 30% (vì họ không phải mất tiền mua bảo hiểm ban đầu) còn lại 70% đối tượng Châu và những người góp vốn được hưởng.
Với thủ đoạn trên, đường dây của Châu đã chiếm đoạt hơn 6 tỷ đồng từ nhiều công ty bảo hiểm nhân thọ như Manulife, AIA, Dai-ichi Life, FWD, Sun Life, Chubb Life. Riêng Công ty Manulife bị chiếm đoạt 3,45 tỷ đồng. Những người mua bảo hiểm sau khi đi bệnh viện về đều xây nhà, mua xe. Châu cũng giàu lên nhanh chóng sau một thời gian ngắn.